/ od Václav Sokol / 0 komentář(y)
Co znamená prasklá zubní sklovina pro vaše zdraví? Vše, co potřebujete vědět

Zubní zdravotní riziko estimátor

Tento nástroj vám pomůže zjistit, jaké je vaše riziko z praskliny ve zubní sklovině. Odpovězte na několik jednoduchých otázek o svých návykách a příznacích. Po dokončení vám náš estimátor zobrazí vaše riziko a doporučení.

Výsledek

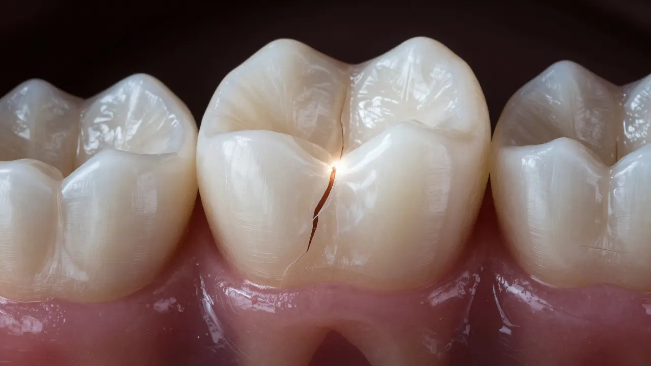
Prasklá zubní sklovina není jen estetický problém. Je to varovný signál, že něco v ústech není v pořádku. Mnoho lidí si myslí, že když se nebojí bolesti, tak není potřeba se o to zajímat. Ale to je nebezpečný omyl. Praskliny ve sklovine mohou vést k hlubokým infekcím, ztrátě zubu a dokonce k problémům s celkovým zdravím.

Co je vlastně zubní sklovina?

Zubní sklovina je nejtvrdší tkáň v lidském těle. Skládá se z 96 % z minerálů, hlavně vápníku a fosforečnanů. Její úloha je jednoduchá: chránit zub před poškozením, kyselinami a mechanickým tlakem. Když je sklovina celistvá, funguje jako nezbytná bariéra. Když se ale praskne, všechno se mění.

Prasklina může být tak tenká, že ji nevidíte ani pod mikroskopem, nebo tak hluboká, že se táhne až k dásni. Některé praskliny jsou vidět jen při silném světle, jiné se objeví až při zubním vyšetření. A právě proto je důležité nečekat, až bude bolet.

Co způsobuje praskliny ve sklovine?

Nejčastější příčiny nejsou tak složité, jak si mnozí myslí. Většina lidí si neuvědomuje, že každodenní návyky mohou zubní sklovinu poškozovat.

  • Skřípání a stiskování zubů - to se jmenuje bruxismus. Mnoho lidí to dělá během spánku, aniž by to věděli. Tlak může dosáhnout až 200 liber na čtvereční palec - to je více než potřeba k zlomení kosti.
  • Zubní implantáty nebo velké plomby - když máte velkou plombu, zub je slabší. Sklovina kolem ní se může prasknout pod tlakem žvýkání.
  • Prudké změny teploty - například když pije teplý čaj a hned potom snízíte zmrzlinu. Opakované rozšiřování a zmrzání skloviny může vést k mikroprasklinám.
  • Úraz - pád, sportovní zranění, úder do obličeje. I menší náraz může způsobit prasklinu, která se projeví až později.
  • Špatná hygiena - když se kyselina z bakterií neustále tvoří na povrchu zubu, sklovina se měkčí a je náchylnější k poškození.

Co cítíte, když máte prasklou sklovinu?

Není to vždy bolest. Někdy je to jen nepříjemné pocit při žvýkání. Třeba když sníte sladké nebo studené jídlo a zub vás „překvapí“ ostrou bolestí. Nebo když se něco „zaklíní“ při žvýkání, jako by něco zatlačovalo do zubu.

Praskliny se často projevují jako:

  • Bolest při žvýkání - obvykle jen na jednom místě
  • Bolest při pítí studeného nebo horkého
  • Citlivost na sladké nebo kyselé potraviny
  • Neustálý pocit „cizího předmětu“ v zubu
  • Červená nebo zduřelá dásň u zubu

Nejnebezpečnější je, že některé praskliny nebojí bolesti vůbec. Než si toho někdo všimne, je už infekce v dřeni. A to je bod, kdy se zub už nezachrání jen plombou.

Ilustrace zubu jako zdiva s bakteriemi pronikajícími prasklinou směrem k dřeni.

Proč je to vážné pro vaše zdraví?

Prasklina ve sklovine není jen problém zubu. Je to vstupní brána pro bakterie. Když se mikroorganismy dostanou do nitra zubu, mohou se šířit do dřeně - kde jsou nervy a cévy. Tam vytvářejí infekci, která se může rozšířit do čelisti, krku, nebo dokonce do krevního oběhu.

Studie z roku 2023 z University of Michigan ukázaly, že lidé s nelečenými prasklinami ve sklovine měli o 40 % vyšší riziko vývoje chronických zánětů v těle. To znamená, že problém zubu může přispívat k zánětům kloubů, srdce nebo i cukrovce.

Nezapomeňte: zubní infekce se neobjeví jen v ústech. Bakterie se přes krev mohou dostat do mozku, plic nebo srdce. U lidí s oslabenou imunitou to může být životně ohrožující.

Co dělat, když si všimnete praskliny?

Nechte to zkontrolovat. Nečekáte, až bude bolet. Nezkoušejte si to „vymyslet“ doma. Když máte podezření na prasklinu, je čas navštívit zubního lékaře.

Co se stane při vyšetření?

  1. Prohlídka - lékař se podívá na zub, použije zrcátko a světlo. Může použít i speciální barvu, která se do praskliny zabarví.
  2. Rentgen - ne vždy je prasklina vidět na oči. Rentgen ukáže, zda se prasklina táhne k dřeni.
  3. Diagnostický test - lékař může lehce přitlačit na zub a zjistit, kde přesně reaguje.

Pokud je prasklina jen na povrchu, stačí zub zapečetit speciální kompozitní hmotou. To je rychlé, nebolestivé a levné. Pokud je prasklina hlubší, může být potřeba krytí korunkou nebo dokonce kořenová léčba.

A pokud je zub už ztracený? V takovém případě se zvažuje implantace nebo most. Ale všechno toto je drahé a dlouhé - proto je důležité zasáhnout brzy.

Porovnání praskliny v zubu a v základech domu, symbolizující postupné poškození zdraví.

Jak prasklinám předcházet?

Prevence je vždy lepší než léčba. A není potřeba žádných zázračných produktů. Stačí pár jednoduchých kroků.

  • Používejte ochrannou štětici - pokud skřípáte zuby ve spánku, ochranná štětice je nejúčinnější řešení. Vyrábí se podle vašich zubů a stojí kolem 1500 Kč. To je méně než cena jedné kořenové léčby.
  • Nežvýkejte tvrdé věci - kosti, oříšky, led, zmrzlé potraviny. Ani klasické zubní štětice nejsou vyrobeny na to, aby vydržely takový tlak.
  • Udržujte pH v ústech - kyselé nápoje (limonády, energo nápoje, kofeinové nápoje) ničí sklovinu. Pijte vodu. Více než 500 ml denně.
  • Čistěte zuby dvakrát denně - nejen ranně a večer, ale také po jídle, pokud to jde. Používejte fluoridovou pastu. Fluorid pomáhá obnovovat minerály ve sklovine.
  • Navštěvujte zubního lékaře každých 6 měsíců - nejen kvůli čištění. Prohlídka může odhalit prasklinu, než se stane problémem.

Co se stane, když to ignorujete?

Ignorování praskliny ve sklovine není jen otázka ztraceného zubu. Je to otázka vašeho celkového zdraví.

Představte si to takto: prasklina je jako malá díra v plotu kolem vašeho domu. Na začátku je tam jen trochu větru. Pak se tam dostanou mravenci. Pak krysy. Pak se plot začne řídit. A nakonec se celý dům zhroutí.

Ve vašich ústech se děje to samé. Bakterie se proplétají do dřeně, způsobují absces, infekci, bolest. A pak se rozšíří dál. Výsledek? Ztráta zubu, nutnost chirurgie, dlouhodobá léčba, náklady, které přesahují 10 000 Kč.

A to všechno se dá vyhnout jednoduchou návštěvou zubního lékaře.

Když už je to prasklé - co je nejlepší řešení?

Neexistuje univerzální odpověď. Vše závisí na hloubce praskliny, věku, zdravotním stavu a vašich finančních možnostech.

Nejčastější řešení:

  • Plomba - pro malé praskliny na povrchu. Trvá 20 minut. Cena 800-1 500 Kč.
  • Korunka - pokud je prasklina větší. Zub se předělá a obalí kovem nebo keramikou. Cena 4 000-8 000 Kč.
  • Kořenová léčba - pokud je infekce v dřeni. Zub se vyčistí a naplní. Cena 3 500-6 000 Kč.
  • Implantace - pokud zub už nelze zachránit. Cena 15 000-25 000 Kč.

Největší chyba? Čekat. Čím déle čekáte, tím více peněz a času budete muset vynaložit. A tělo vám to nebude děkovat.

Je prasklá zubní sklovina nebezpečná, i když nebolí?

Ano, je. Mnoho prasklin nebojí bolesti, dokud nejsou hluboké. Bakterie se mohou dostat do dřeně a způsobit infekci, která se může rozšířit do krevního oběhu. I bez bolesti je to potenciální hrozba pro celkové zdraví.

Může prasklina ve sklovine způsobit ztrátu zubu?

Ano. Pokud prasklina přesáhne povrch skloviny a dosáhne dřeně, může dojít k nevratnému poškození nervů a cév. Zub pak ztrácí život, a jediným řešením je jeho vytažení.

Je možné prasklinu ve sklovine vidět na oči?

Někdy ano, ale často ne. Malé praskliny jsou vidět jen při silném světle nebo pomocí zubního mikroskopu. Většina lidí si jich nevšimne, dokud se neobjeví bolest nebo infekce.

Může prasklá sklovina ovlivnit celkové zdraví?

Ano. Infekce z dřeně zubu se mohou přes krev dostat do srdce, mozku nebo kloubů. Studie ukazují spojitost mezi nelečenými zubními infekcemi a zvýšeným rizikem srdečních onemocnění, cukrovky a chronických zánětů.

Je lepší nechat si prasklinu zapečetit nebo čekat?

Je vždy lepší nechat si prasklinu zapečetit co nejdříve. Zapečetění je levné, rychlé a nebolestivé. Čekání znamená vyšší náklady, delší léčbu a větší riziko ztráty zubu.

Napsat komentář

*

*

*